用户名:
登录密码:
确认密码:
手机号:
验证码:

专家团队

更多>

查看内容

射波刀治疗脑膜瘤成功的案例

2015-03-27 | 发布者:admin | 查看数:5702
  现在射波刀治疗肿瘤已经被大家认可,只因为射波刀治疗的效果很不错,那么射波刀治疗脑膜瘤效果到底怎么样呢?下面我们看以下案例:
 
  脑膜瘤患者咨询:33岁,半年前发现左眼外凸,照核磁诊断出脑膜瘤。目前左眼视力未受损,但视野有部分缺失。在某医院看过,关联静动脉、海绵窦、视神经和动眼神经,无法切除干净,且风险很大。
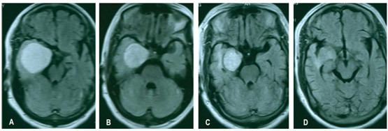
射波刀治疗脑膜瘤案例
 
  射波刀专家:如果你能够接受手术治疗,先手术治疗,手术可以切除部分肿瘤,然后再用射波刀治疗残留的肿瘤,开刀切除肿瘤的风险较大,如果肿瘤切除分寸掌握得不够得当,可能损伤颅神经,由于肿瘤位于海绵窦,贴近很多颅神经,特别是肿瘤靠近视神经,射波刀治疗也会影响这些神经,如果将肿瘤杀死或长期控制肿瘤生长,可能要牺牲左眼的视力。
 
  射波刀治疗脑膜瘤患者之后的随访:
 
  射波刀治疗并随访了几例脑膜瘤。射波刀分次治疗可能比单次治疗有优势,但是不能保证控制一辈子不再复发,一种情况,射波刀治疗后10年,如果肿瘤再次生长,可能需要第二次治疗,一定要定期复查。
 
  射波刀治疗颅内肿瘤越小效果就越好!
 
  病人咨询:我能否不做手术直接做射波刀呢?我主要考虑以下两点:
 
  1、手术风险大:我的瘤子长在海绵窦处,即便开颅恐怕也只能做很小一部分,而开颅带来的风险大得多,最后可能伤害大,收益却甚微。
 
  2、我现在除了左眼突出,基本没有什么症状,而开颅可能导致左眼视神经或动眼神经受损,生活质量反而下降。
 
  所以,您看看我的情况能否不手术直接射波刀呢?
 
  还有几点疑问:1、您提到射波刀也有可能影响颅神经,那么这种风险大吗?是否可以规避呢?
 
  2、不知道射波刀是否对肿瘤大小有要求?如果我现在不尽早治疗的话,等瘤子再长大,是否射波刀也无法处理了呢?
 
  3、如果射波刀无法保证控制一辈子,那么再次复发时,面临的情况是否和首次治疗时一样呢?还是有更大的风险?
 
  射波刀专家:射波刀肯定会影响颅神经,不能规避。射波刀分次治疗,对神经的影响会轻一些,但是视神经肯定要影响。射波刀治疗,肿瘤越小治疗效果越好。肿瘤复发后,在此治疗时,颅神经受损的机会更大。
 
  通过上边的案例,希望大家能了解到射波刀治疗脑膜瘤方面,合理的选择治疗方案,得了脑膜瘤并不可怕,可怕的是没有找到合适的治疗方法,专家提醒,不能盲目治疗,选择合适的治疗方法,射波刀治疗中心在线医生提供在线咨询,帮您制定最佳治疗方案!