用户名:
登录密码:
确认密码:
手机号:
验证码:

专家团队

更多>

查看内容

手术不成功患者选用射波刀治疗康复

2021-12-02 | 发布者:admin | 查看数:3202
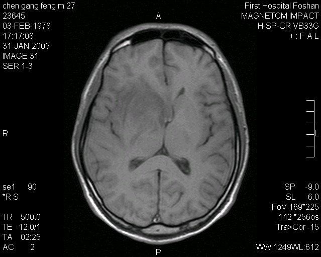
  病种:脑胶质瘤
  病情:王先生,在今年的一月初,肢体突发抽搐、眼睛上翻,意识丧失,后送到医院。经磁共振检查,发现原右额叶病灶可见轻度斑片状不均匀强化,大小约为2.8X2.4X3.0CM(左右X前后X上下)。余颅内未见强化影。确诊为脑胶质瘤。
  治疗:手术、射波刀
  
射波刀治疗

  结果:后来就在医院,做了手术。术后刚刚感觉效果还不错,但是过了1个月,肢体又感觉麻木。到医院检查,发现疾病再次复发。后做了射波刀,消除了体内的残余肿瘤,目前患者自己能够行走,抽搐少量很多,肿瘤已经找不到,没有再次复发。
  射波刀医疗中心专家提醒各位,有病请勿乱投医,一定要到正规医院进行诊断治疗,以免耽误病情,本中心开展远程会诊平台,您足不出户就可以与专家团队进行交流。如有疑问请联系我们哦。
上一篇:专家解释射波刀呼吸跟踪系统
推荐阅读:YAP1蛋白触发脑膜瘤细胞增殖